
As cosmetic dental procedures become more common, a new fear has emerged. “Shark teeth” or “turkey teeth” as they are often called on TikTok, have set the internet ablaze. But what exactly are these shark teeth? Is that the price to pay for a brighter and whiter smile? Today, I’ll be debunking the rumors you may have heard and seen on TikTok and will share the truth about veneers – a procedure that should be minimally invasive and conservative!
Where did the “Turkey Teeth” or “Shark Teeth” Trend come from?
The term “Turkey Teeth” doesn’t refer to the bird; In fact, it refers to the country, Turkey, where people often fly for cosmetic procedures. As the trend of traveling for a shiny, straight smile becomes more popular, people are sharing videos of their teeth before the final “veneers” were placed, with their natural teeth completely shaved down to nubs.

Crowns Preparation vs. Veneer Preparation
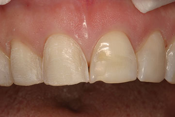
Now that we know where this term came from, let’s break down whether veneers are truly as invasive as those videos make them seem. Unlike crowns, veneers require removing just enough tooth structure so a small layer of porcelain can be placed on top of your natural teeth. Dentists often make them look very natural, and they can sometimes be as thin as a contact lens and require little to no removal of natural structure! However, they do NOT wrap around your tooth 360 degrees, much like you can see here in this picture:

So what are all the people on TikTok talking about? Crowns! Crown preparations differ from veneers because they are much MORE invasive, wrapping around the entirety of the tooth. While there are many reasons to place a crown on a tooth (such as fractured tooth structure, root canals, or failing fillings), removing that much tooth structure for an elective cosmetic procedure isn’t necessary and may lead to complications in the future, such as gum problems, decay, and the need for replacement.

Now that you know the difference between crowns and veneers, which one do you need? Visit Dr. Shah at our Sunnyvale office for a comprehensive evaluation that will help you understand what is right for you. Our goal is to be as conservative as possible while delivering you a healthy, happy smile. Contact us at https://smilesaversdental.com/contact-us/ or call our office to make an appointment today!

